Home
Our Team
Sight Tests
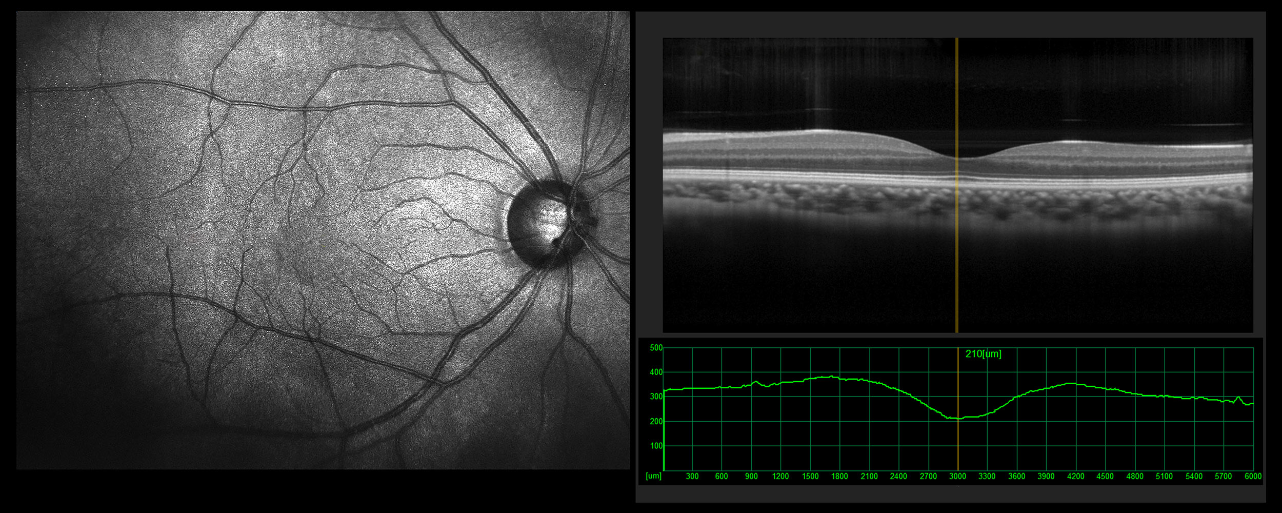
Revo-OCT
Lenses
Frames
Special Offers
Eye Health